18岁少女葡萄膜炎视力被“吞噬”,眼科团队上演“追光时刻”抢回光明!
过去的一个月,对于18岁的花季少女小潘而言,她的世界仿佛被蒙上了一层厚重的、无法驱散的迷雾。一场突如其来的眼病,让这名莘莘学子遭遇了严重的视力危机。
一、花季少女突遭眼疾,视力“断崖式”下跌
不久前,小潘右眼开始出现视力下降,并且眼压升高,在郑州爱尔眼科医院就诊时,惊人地发现右眼视力只剩手动/30cm,视力情况非常糟糕。

通过后续进一步检查,得知小潘患有严重葡萄膜炎,右眼并发性白内障和虹膜粘连,视力受到极大损伤。
葡萄膜炎并发症
更揪心的是:葡萄膜炎的并发症不仅包括白内障、青光眼,还可能引起黄斑水肿、视网膜脱离、视神经萎缩等,严重时可导致永久性视力损伤。
这对于正在上学的花季少女来说,无异于暴风骤雨般打湿了她原本明媚晴朗的天空。学业、生活以及对未来的憧憬,都在这片混沌的视界中变得异常模糊。

对于小潘的病情,眼底病专家、爱尔眼科医院鄂豫区副总院长 李玉军表示,这里边要解决三个问题:
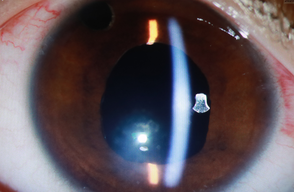
一是葡萄膜炎形成了“并发性白内障”,本应透明的晶状体变得混浊;二是炎症导致虹膜后粘连,紧紧地贴在了晶状体前表面,三是手术后要控制炎症的发展。
二、“一石三鸟”精准手术+缓释药剂成破局关键
面对复杂棘手的病情,李玉军院长与眼底病科孙利娜主任为小潘量身定制了一套精密且具有前瞻性的手术方案——玻璃体切割联合白内障超声乳化吸除,并进行药物处理。

在李玉军院长与孙利娜主任相互配合中,首先通过玻璃体切割手术,清除了混浊的玻璃体和增殖膜,为眼内重建一个清晰稳定的光学通道。
同时,在术中精准地分离粘连的虹膜,并利用超声乳化技术吸除已经混浊的白内障,解决光线进入眼睛的第一道障碍。
而整个手术中最具战略意义的一步,也是难度比较大的一步,将一枚米粒大小的氟轻松缓释剂固定,以更好发挥药效。

“不要小看这个‘小棒棒’,对于这种顽固性葡萄膜炎患者,控制炎症是手术成功和维持长期治疗的重点因素。”李玉军表示,
“它能在长达2-3年的时间内,以恒定速率释放低剂量的抗炎药物,抑制眼内炎症,为视功能的恢复争取宝贵时间。”
手术过程顺利。通过一周的恢复,小潘右眼病情得到改善,视力已显著提升,并且眼内炎症得到控制。

三、葡萄膜炎多种并发症,要防患于未然
小潘的成功救治,是眼科前沿技术力量的彰显,但背后也折射出值得深思的普遍问题。
李玉军指出:“葡萄膜炎早期症状有时比较隐匿。如果小潘在出现最初症状时就能进行专业的眼健康体检,明确诊断并早期规范抗炎治疗,很有可能避免发展到严重的并发症阶段。”
重点提醒
葡萄膜炎、青光眼、糖尿病性视网膜病变等许多致盲性眼病,在早期往往症状轻微或不明显,而当患者感到视力严重下降时,往往病情非常严重,会造成不可逆的视功能损伤。
因此,将全面的眼健康体检纳入常规健康管理,其重要性不言而喻。
无论是儿童、青少年还是成年人,都应至少每年进行一次全面的眼部检查,及时发现潜在病变的‘蛛丝马迹’。
