24小时生命速递:角膜移植“零等待”,郑州爱尔助濒盲老人抢回光明
对于众多亟待角膜移植的患者而言,漫长的等待往往意味着视力的永久丧失甚至眼球不保。然而,近日在河南大学附属爱尔眼科医院(郑州爱尔眼科医院),68岁的孙大爷在右眼濒临穿孔的危急关头,亲身验证了“角膜材料无需等待”的救治速度——从确诊到成功接受角膜移植手术,全程不到24小时,这场高效的生命速递为他成功避免了失明风险。
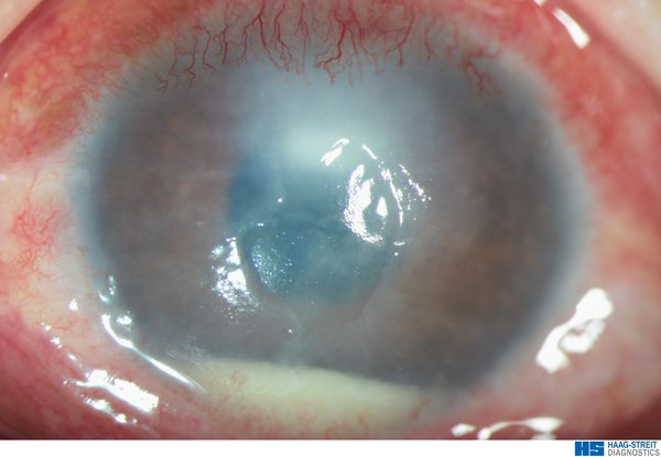
孙大爷来自河南巩义,平日身体硬朗。不久前,农忙劳作时右眼不慎被划伤。起初只是轻微不适,孙大爷自行滴用眼药水后未予重视。然而几天后,情况急转直下,他的右眼出现剧烈疼痛、畏光、流泪,视力急剧下降至仅剩光感。当地医院确诊其为“真菌性角膜溃疡”,虽经积极抗真菌治疗,但因感染凶猛、就诊稍晚,角膜溃疡面持续扩大加深,中央区已濒临穿孔,医生告知唯一希望是立即进行角膜移植手术。
时间就是视力:快速通道点燃希望 对于孙大爷这样病情危重的患者,每一分钟都至关重要。家属在多方打听后了解到,河南大学附属爱尔眼科医院(郑州爱尔眼科医院)依托爱尔眼科集团强大的全国资源网络——拥有9家大型眼库与62个角膜接收站,能够建立充足、规范的角膜供体储备,并拥有高效快速的调配机制,可为急症患者开通“角膜材料零等待”的绿色通道。这最后一线希望,促使家人将孙大爷紧急转至该院。
医院角膜及眼表病科主任王伟教授团队接诊后,迅速为孙大爷展开全面检查,确诊其右眼为“进展期真菌性角膜溃疡,穿孔风险极高”。情况危急,医院立即启动应急流程,凭借高效的内部协同机制,迅速从眼库中成功匹配到健康的角膜供体。从确诊到角膜材料到位,再到顺利完成手术,整个过程仅用了不到24小时,上演了一场惊心动魄的光明保卫战。

术后,孙大爷恢复良好,他激动地表示:“真没想到这么快就能做上手术!郑州爱尔有这个‘不用等’的本事,是它救了我的眼睛!”
孙大爷的成功救治,是河南大学附属爱尔眼科医院(郑州爱尔眼科医院)强大角膜病诊疗实力与高效医疗应急能力的集中体现。“角膜材料不用等待”并非一句空话,而是依托坚实资源与技术支撑,为无数徘徊在失明边缘的角膜急症患者点燃的实实在在的希望之光。未来,医院将继续凭借先进的医疗技术和丰富的眼库资源,为更多眼疾患者提供及时、高效、高质量的诊疗服务。
河南大学附属爱尔眼科医院角膜及眼病科副主任王伟提醒:一旦发生眼外伤,特别是被植物(如树叶、树枝、谷粒等)划伤后,切勿自行用药,务必第一时间前往正规眼科医疗机构就诊,以免延误治疗,引发真菌或细菌感染。早诊断、早治疗是保住视力的关键。
同时,为了帮助经济困难的角膜盲症患者及时获得角膜移植手术的机会,湖南爱眼公益基金会与爱尔眼科联合发起了“你是我的眼”角膜移植中国行公益项目。目前,郑州爱尔眼科医院已经开设了角膜移植绿色通道。凡是符合爱尔眼科角膜公益项目政策条件的角膜移植患者,单眼最高可补助5000元。需要角膜移植且无力治疗的贫困家庭者,老兵、退伍军人、失独老人、农民、残疾人等,凭借相关证明,也可参与“看得见的希望”爱眼公益基金救助计划,为了角膜盲症患者的视界光明,郑州爱尔眼科医院一直在努力!
